Αρθροπλαστική της Επιγονατιδομηριαίας Άρθρωσης
Τι είναι η αρθροπλαστική της επιγονατιδομηριαίας άρθρωσης;
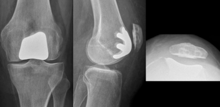
- Η αντικατάσταση (αρθροπλαστική) της επιγονατιδομηριαίας άρθρωσης είναι ένας τύπος μερικής αρθροπλαστικής γόνατος που χρησιμοποιείται για να αντικαταστήσει το φθαρμένο (αρθριτικό) επιγονατιδομηριαίο διαμέρισμα του γόνατος, δηλαδή την επιγονατίδα και τη μηριαία τροχιλία επί της οποίας ολισθαίνει καθώς το γόνατο κάμπτεται και εκτείνεται
- Για να ανακουφιστεί ο ασθενής από την προχωρημένη επιγονατιδομηριαία οστεορθρίτιδα αφαιρείται η αρθρική επιφάνεια της επιγονατίδας και αντικαθίσταται με πλαστικό και η αντίστοιχη επιφάνεια στο μηρό που ονομάζεται τροχιλία, αντικαθίσταται από μέταλλο
- Οι υπόλοιπες αρθρικές επιφάνειες του έσω και έξω διαμερίσματος του γόνατος καθώς και οι σύνδεσμοι παραμένουν ανέπαφες
- Είναι ιδανική για ασθενείς με μεμονωμένη οστεοαρθρίτιδα της επιγονατιδομηριαίας άρθρωσης
- Οι ασθενείς είναι συχνά νεότεροι από εκείνους με πιο εκτεταμένη αρθρίτιδα και συμβάλλει στο να κερδίσουν χρόνο και να παρέχει ανακούφιση από τον πόνο έως ότου η αρθρίτιδα στο γόνατο εξαπλωθεί στα άλλα διαμερίσματα
- Όταν και αν συμβεί αυτό, τότε είναι μια σχετικά απλή διαδικασία να αναθεωρηθεί σε ολική αρθροπλαστική γόνατος
Ποιοι είναι οι παράγοντες κινδύνου για επιγονατιδομηριαία οστεοαρθρίτιδα;
- Παχυσαρκία
- Κάταγμα της επιγονατίδας
- Θήλυ φύλο
- Αστάθεια της επιγονατίδας
- Κακή ευθυγράμμιση του ποδιού
- Ανώμαλο σχήμα της τροχιλίας από τη γέννηση (το τμήμα του μηριαίου οστού στο οποίο ολισθαίνει η επιγονατίδα)
- Ανισορροπία μυϊκής αντοχής και ανελαστικότητα στο κάτω άκρο
Ενδείξεις: πότε είναι κατάλληλη η αρθροπλαστική της επιγονατιδομηριαίας άρθρωσης;
- Οι ασθενείς παρουσιάζουν:
- Πόνος στο μπροστινό τμήμα του γόνατος
- Πόνος που επιδεινώνεται:
- όταν ανεβαίνουν ή κατεβαίνουν σκάλες (η κάθοδος είναι συνήθως χειρότερη)
- όταν σηκώνονται από καθιστή θέση
- σε θέση οκλαδόν
- στο γονάτισμα
- σε καθιστή θέση για παρατεταμένο χρόνο με τα γόνατα σε κάμψη (π.χ. κατά την οδήγηση ή την παρακολούθηση ταινίας)
- Ο πόνος είναι λιγότερο έντονος όταν:
- Περπατούν σε επίπεδη επιφάνεια
- Στέκονται με τα γόνατα τεντωμένα
- Δυσκαμψία
- Αίσθημα τριξίματος όταν ανεβαίνουν και κατεβαίνουν σκάλες
Αντενδείξεις: Πότε δεν είναι κατάλληλη η αρθροπλαστική της επιγονατιδομηριαίας άρθρωσης;
- Παρουσία αρθρίτιδας σε άλλο διαμέρισμα του γόνατος δηλαδή μεταξύ της κνήμης και του μηρού
- Παρουσία υπερβολικά κακής ευθυγράμμισης του γόνατος
Διαγνωστικές εξετάσεις
- Ακτινογραφίες:
- Προσθιοπίσθια λήψη: βοηθά στην επιβεβαίωση ότι το έσω και έξω διαμέρισμα του γόνατος δεν πάσχουν από σημαντική αρθρίτιδα
- Πλάγια λήψη: Αξιολόγηση του βαθμού φθοράς του επιγονατιδομηριαίου διαμερίσματος
- Λήψη καθ’ εφαπτομένη: βοηθά στην απεικόνιση του βαθμού φθοράς μεταξύ της επιγονατίδας και του μηριαίου
- Μαγνητική τομογραφία:
- Μπορεί να δείξει με ακρίβεια τη θέση και τον βαθμό φθοράς του επιγονατιδομηριαίου διαμερίσματος
Ποια είναι τα πλεονεκτήματα της αρθροπλαστικής της επιγονατιδομηριαίας άρθρωσης σε σχέση με την ολική αρθροπλαστική γόνατος;
- Περισσότερη φυσική αίσθηση και κίνηση:
- Λόγω της διατήρησης του εναπομείναντος τμήματος του γόνατος και των συνδέσμων
- Οι επιδόσεις λειτουργικότητας και δραστηριότητας είναι ανώτερες
- Το τραύμα είναι μικρότερο
- Λιγότερο επώδυνη
- Ταχύτερη αποκατάσταση
- Ταχύτερη επιστροφή στην εργασία και τις δραστηριότητες
Πώς να επιλέξετε τον ορθοπαιδικό σας και η σημασία της υπερεξειδίκευσης;
- Η επιλογή ορθοπαιδικού για μια τόσο σημαντική επέμβαση μπορεί να φαίνεται αρχικά δύσκολη
- Μελέτες έχουν δείξει ξεκάθαρα ανώτερα κλινικά αποτελέσματα σε εξειδικευμένους ορθοπαιδικούς
- Η εξειδίκευση φαίνεται στο βιογραφικό του ορθοπαιδικού
- Ο καλύτερος αναγνωρισμένος τρόπος εξειδίκευσης διεθνώς είναι με τις υπερεξειδικεύσεις (fellowships) κατά τα οποία ο ορθοπαιδικός εξειδικεύεται για τουλάχιστον 6-12 μήνες σε αναγνωρισμένα κέντρα αναφοράς αρθροπλαστικής γόνατος στο εξωτερικό
- Τα fellowships στο εξωτερικό δίνουν τις ιδανικές ευκαιρίες στον ορθοπαιδικό να μάθει σωστά υπό επίβλεψη και αξιολόγηση από κάποιον διευθυντή χειρουργικής ο οποίος έχει αναγνωριστεί ευρέως για τα εξαιρετικά του κλινικά αποτελέσματα
- Όσο πιο πολλά fellowships και χρόνια αφιερώνοντας στην υπερεξειδίκευση τόσο πιο πιθανό είναι να έχει καλύτερα κλινικά αποτελέσματα ιδιαίτερα για τα πιο δύσκολα περιστατικά
- Προσοχή στα βιογραφικά που αναφέρουν (υπερ)εξειδίκευση στις Ηνωμένες Πολιτείες Αμερικής εάν ο χειρουργός δεν έχει περάσει τις προαπαιτούμενες Aμερικάνικες ιατρικές εξετάσεις (USMLE) χωρίς τις οποίες δεν του επιτρέπεται να χειρουργήσει ούτε καν να ασκήσει το ιατρικό επάγγελμα παρά μόνο να παρακολουθεί
- Να σημειωθεί ότι δεν είναι αρκετή η παρακολούθηση χειρουργείων και κλινικών για να αποκτήσει ένας χειρουργός εμπειρίες, γνώσεις και ικανότητες στην κλινική πράξη
- Προαπαιτούμενο σε μία υπερεξειδίκευση (fellowship) είναι ο ορθοπαιδικός να αναλαμβάνει ενεργό ρόλο στις κλινικές και στα χειρουργεία, αρχικά υπό παρακολούθηση και αξιολόγηση από κάποιον διευθυντή αναγνωρισμένο διεθνώς για τα εξαιρετικά του κλινικά αποτελέσματα
- Κατόπιν ικανοποιητικής αξιολόγησης ο ορθοπαιδικός μπορεί να χειρουργεί χωρίς παρακολούθηση πάντα όμως υπό την εποπτεία του διευθυντή
Ποια είναι εξειδίκευση και εμπειρία του ορθοπαιδικού Dr Αντώνη Θεοδωρίδη
- Ο Dr Αντώνης Θεοδωρίδης έζησε στο Ηνωμένο Βασίλειο 32 χρόνια
- Αποφοίτησε από το Imperial College, London
- Όλη η εκπαίδευση, η εξειδίκευση, και υπερεξειδίκευση (fellowship trained) στο γόνατο πραγματοποιήθηκαν στο Ηνωμένο Βασίλειο
- Μοναδική υπερεξειδίκευση στο γόνατο ακόμα και για δεδομένα Ηνωμένου Βασιλείου
- 5 υπερεξειδικεύσεις (fellowships) στο γόνατο σε 3 χρόνια
- Πάνω από 6000 πιστοποιημένες χειρουργικές επεμβάσεις στο Ηνωμένο Βασίλειο
- Πολύχρονη εμπειρία σε εξειδικευμένα κέντρα αρθροπλαστικής γόνατος στο Ηνωμένο Βασίλειο καλύπτοντας όλο το φάσμα αρθροπλαστικής από μονοδιαμερισματική, επιγονατιδομηριαίας άρθρωσης, ολικής και αναθεώρησης
Μπορείτε να βρείτε περισσότερες xρήσιμες πληροφορίες εδώ:







