Αναθεώρηση της Ανακατασκευής του
Πρόσθιου Χιαστού Συνδέσμου
- Μπορείτε να βρείτε σχετικές χρήσιμες πληροφορίες στην ανατομία του Πρόσθιου Χιαστού Συνδέσμου (ΠΧΣ), τους τραυματισμούς του ΠΧΣ και την ανακατασκευή του ΠΧΣ
Γιατί παρατηρείται ολοένα και αυξημένα περιστατικά αποτυχίας ανακατασκευής του πρόσθιου χιαστού;
- Η ανακατασκευή του πρόσθιου χιαστού είναι μία από τις πιο συνηθισμένες χειρουργικές επεμβάσεις με πάνω από 200.000 να πραγματοποιούνται ετησίως μόνο στις ΗΠΑ
- Το ποσοστό επιτυχίας τους μπορεί να κυμαίνεται από 75-97%:
- Επομένως, ο χειρουργός ή ο ασθενής δε θα πρέπει να αναμένει από μια ανακατασκευή του πρόσθιου χιαστού ότι θα είναι 100% αποτελεσματική, πόσο μάλλον ότι δεν περικλείει κινδύνους
- Οι επιπλοκές της ανακατασκευής του πρόσθιου χιαστού συζητούνται περαιτέρω στην ενότητα της ανακατασκευής του πρόσθιου χιαστού
- Καθώς αυξάνεται ο αριθμός των ανακατασκευών πρόσθιου χιαστού που πραγματοποιούνται, έτσι αυξάνονται και οι αποτυχίες και ο αριθμός των αναθεωρήσεων των ανακατασκευών πρόσθιου χιαστού
- Η αποτυχία της ανακατασκευής του πρόσθιου χιαστού μπορεί να οφείλεται σε:
- Ρήξη μοσχεύματος πρόσθιου χιαστού (δομική αστοχία)
- Υπολειπόμενη αστάθεια (λειτουργική αστοχία):
- Οι ασθενείς αισθάνονται ότι το γόνατό τους είναι ασταθές (ειδικά όταν στρέφεται) παρά την ακεραιότητα του πρόσθιου χιαστού
- Τα αποτελέσματα της αναθεώρησης της ανακατασκευής του πρόσθιου χιαστού δεν είναι τόσο καλά όσο η αρχική ανακατασκευή του πρόσθιου χιαστού:
- Για αυτό είναι σημαντικό όχι μόνο η εξασφάλιση της σωστής μετεγχειρητικής αποκατάστασης αλλά και η επιλογή ενός χειρουργού που ειδικεύεται στις ανακατασκευές του πρόσθιου χιαστού
- Τα αποτελέσματα της αναθεώρησης της ανακατασκευής του πρόσθιου χιαστού είναι καλύτερα για όσους δεν έχουν άλλους τραυματισμούς σε μηνίσκους, χόνδρο ή άλλο σύνδεσμο
- Το 15-30% των αθλητών μετά από ανακατασκευή πρόσθιου χιαστού παραπονιούνται για:
- Συνεχιζόμενο πόνο
- Μόνιμη αστάθεια
- Αδυναμία επανόδου στο ίδιο επίπεδο ανταγωνισμού
- Είναι σημαντικό να προσδιοριστούν οι λεπτομέρειες σχετικά με το τι έγινε στην αρχική ανακατασκευή του πρόσθιου χιαστού, εάν υπήρχαν επιπλοκές μετά και πώς πήγε η αποκατάσταση και οποιαδήποτε συμμετοχή στην άθληση
- Οι προσδοκίες του ασθενούς και το επίπεδο των δραστηριοτήτων που επιθυμούν να ακολουθήσουν στη συνέχεια βοηθούν τον χειρουργό στη διαχείριση και την εκπαίδευση του ασθενούς σχετικά με το τι να περιμένει, τα οφέλη και τους κινδύνους της επέμβασης και το μετεγχειρητικό πρόγραμμα αποκατάστασης
Αιτίες αποτυχίας της ανακατασκευής του πρόσθιου χιαστού συνδέσμου
- Η αποτυχία μιας ανακατασκευής πρόσθιου χιαστού θεωρείται υπαρκτή όταν η σταθερότητα του γόνατος δεν αποκαθίσταται κατά τη στροφή του γόνατος
- Οι ασθενείς θα βιώσουν το γόνατο «να φεύγει» όταν στρέφουν το γόνατο γρήγορα:
- Κάθε φορά που το γόνατο «φεύγει», θέτει την επιφάνεια του αρθρικού χόνδρου και τους μηνίσκους σε κίνδυνο περαιτέρω τραυματισμού
- Οι αιτίες της αποτυχίας μπορούν γενικά να χωριστούν σε:
- Χειρουργικά τεχνικά σφάλματα:
- Θεωρείται ότι είναι η πιο συνηθισμένη αιτία αποτυχίας ειδικά στην πρώιμη περίοδο μετά την επέμβαση
- Αυτό οφείλεται στην κακή τοποθέτηση των σηράγγων του μοσχεύματος κυρίως στο μηριαίο και δευτερευόντως στην κνήμη
- Η κακή τοποθέτηση των σηράγγων έχει ως αποτέλεσμα:
- Υπερβολική τάση (τέντωμα) στο μόσχευμα
- Πρόσκρουση, κατά την οποία το μόσχευμα πιέζεται μεταξύ των αρθρικών επιφανειών, προκαλώντας πόνο, δυσκαμψία και πιθανή ρήξη του μοσχεύματος
- Ανόμοια τάση στο μόσχευμα κατά το εύρος κίνησης, με το γόνατο να είναι σφιχτό είτε σε κάμψη είτε σε έκταση και χαλαρό στο αντίθετο άκρο της κίνησης
- Αδιάγνωστοι πρόσθετοι τραυματισμοί που δεν αντιμετωπίστηκαν κατά την αρχική επέμβαση, όπως σε:
- Οπίσθια-έξω γωνία :
- Απαντάται στο 10-15% των γονάτων με χρόνια ανεπάρκεια του πρόσθιου χιαστού
- Έσω πλάγιο σύνδεσμο
- Το οπίσθιο κέρας (οπίσθιο άκρο) του έσω μηνίσκου είναι ένας επιπλέον σταθεροποιητής και η αποτυχία αντιμετώπισης της ρήξης του οδηγεί σε υπερβολικές τάσεις στον πρόσθιο χιαστό
- Κακή ευθυγράμμιση κάτω άκρων:
- Ο ασθενής μπορεί να έχει ραιβογονία ή βλαισογονία
- Αυτή η κακή ευθυγράμμιση μπορεί να υποβάλει το μόσχευμα του πρόσθιου χιαστού σε υπερβολικές καταπονήσεις και να αυξήσει την πιθανότητα διάτασης και τελικής αποτυχίας
- Ένα από τα συνηθισμένα προβλήματα που διαλάθουν όταν εκτελείται μια ανακατασκευή πρόσθιου χιαστού είναι η κνημιαία κλίση:
- Όταν κοιτάζετε το γόνατο από το πλάι, η γωνία που σχηματίζει η αρθρική επιφάνεια της κνήμης με μια οριζόντια γραμμή, ονομάζεται κνημιαία κλίση
- Αν αυτή η κλίση είναι μεγάλη, τότε αυτό σημαίνει ότι όταν κάποιος στέκεται η φυσική τάση είναι το μηριαίο να ολισθαίνει προς τα κάτω στην κνήμη, και σαν αποτέλεσμα επίδρασης η κνήμη ολισθαίνει προς τα εμπρός σε σχέση με το μηριαίο
- Αυτό θέτει υπερβολικές δυνάμεις ελκυσμού που τεντώνουν τον πρόσθιο χιαστό
- Όταν αυτή η κλίση είναι πολύ μεγάλη, πρέπει να πραγματοποιηθεί διορθωτική οστεοτομία για να γίνει η κλίση ουδέτερη (πλησιέστερα στην οριζόντια) προκειμένου να προστατευτεί ο πρόσθιος χιαστός από μελλοντική αποτυχία
- Είναι ενδιαφέρον ότι αυτή η διορθωτική οστεοτομία για την προστασία του πρόσθιου χιαστού πραγματοποιείται συνήθως από κτηνιάτρους σε σκύλους που υποβάλλονται σε ανακατασκευή του πρόσθιου χιαστού
- Τραύμα:
- Συνήθως όταν ο ασθενής επιστρέφει στην άθληση
- Συνηθέστερη αιτία για όψιμες αποτυχίες ανακατασκευής πρόσθιου χιαστού
- Βιολογική αποτυχία ενσωμάτωσης του μοσχεύματος:
- Το μόσχευμα του πρόσθιου χιαστού πρέπει να ενσωματωθεί στις οστικές σήραγγες για να γίνει ένα σώμα και να αποκτήσει σταθερή πρόσδεση
- Αυτό χρειάζεται χρόνο για να συμβεί και εξηγείται παρακάτω στις φάσεις της επούλωσης του πρόσθιου χιαστού στην ενότητα της ανακατασκευής πρόσθιου χιαστού συνδέσμου
Το χρονικό σημείο της αποτυχίας δείχνει την αιτία της αποτυχίας
- Η πρώιμη αποτυχία (<3 μήνες) πιθανώς οφείλεται σε:
- Χαλάρωση του μοσχεύματος:
- Ο πρόσθιος χιαστός καθηλώνεται με εμφύτευμα στο μηριαίο (anchor loop) και στην κνήμη (βίδα)
- Εάν αυτά τα εμφυτεύματα δεν συγκρατούν καλά το μόσχευμα, μπορεί να οδηγήσουν σε πρώιμη αποτυχία
- Το πιο αδύναμο σημείο της ανακατασκευής του πρόσθιου χιαστού στην πρώιμη μετεγχειρητική περίοδο είναι η επιφάνεια επαφής μεταξύ του τένοντα και του οστού
- Ο σκοπός των εμφυτευμάτων είναι να συγκρατούν το μόσχευμα στη θέση του, ενώ δίνουν χρόνο για να ενσωματωθεί το μόσχευμα και να γίνει ένα σώμα με τις γύρω οστικές σήραγγες
- Εν τω βάθει λοίμωξη στο γόνατο:
- Μια επιφανειακή λοίμωξη στο γόνατο μόνο στο τραύμα μπορεί να αντιμετωπιστεί επιτυχώς με επιθετική αντιβιοτική αγωγή
- Μια εν τω βάθει λοίμωξη του γόνατος είναι όταν προσβάλλεται η ίδια η άρθρωση του γόνατος και είναι μια κακή έκβαση
- Συχνά παρουσιάζεται με έντονο πόνο που επιδεινώνεται κατά την όρθια θέση και την κίνηση του γόνατος, οίδημα, ερυθρότητα και θερμότητα στο γόνατο και γενικό αίσθημα κακουχίας με πυρετό:
- Σε τέτοιες περιπτώσεις ο ασθενής θα πρέπει να ζητήσει άμεση ιατρική βοήθεια από έναν ορθοπεδικό χειρουργό ειδικό στο γόνατο για επείγουσα έκπλυση του γόνατος στο χειρουργείο και έναρξη αντιβιοτικών
- Η εν τω βάθει λοίμωξη δυστυχώς όχι μόνο διαβρώνει και χαλαρώνει το μόσχευμα του πρόσθιου χιαστού, αλλά επίσης αρχίζει να επιτίθεται και να διαλύει τον χόνδρο της άρθρωσης που μπορεί να οδηγήσει σε ραγδαία εμφάνιση αρθρίτιδας
- Μεσοπρόθεσμη αποτυχία (3-12 μήνες):
- Χειρουργικά σφάλματα στη τοποθέτηση της σήραγγας του μοσχεύματος πρόσθιου χιαστού
- Αποτυχία αναγνώρισης και αντιμετώπισης άλλων συνδεσμικών τραυματισμών κατά τη χειρουργική επέμβαση
- Αποτυχία αντιμετώπισης κακής ευθυγράμμισης ή υπερβολικής κνημιαίας κλίσης
- Αποτυχία ενσωμάτωσης του μοσχεύματος με το οστό
- Πρόωρη επιστροφή στην άθληση
- Ανεπαρκής ή υπερβολικά επιθετική αποκατάσταση
- Όψιμη αποτυχία (>12 μήνες):
- Σε αντίθεση με τις πρώιμες αποτυχίες όπου τα χειρουργικά λάθη είναι πιο διαδεδομένα, οι όψιμες αποτυχίες οφείλονται συνήθως σε τραυματικό γεγονός:
- Επιστροφή στον αθλητισμό με ή χωρίς επαρκή αποκατάσταση
- Κακή τοποθέτηση μοσχευμάτων
- Σημαντική δυσκαμψία του γόνατος
- Εάν η αποκατάσταση είναι ανεπαρκής, ο πρόσθιος χιαστός μπορεί να τραυματιστεί ακόμη και με μικρό τραύμα, καθώς οι μύες είναι πολύ αδύναμοι για να εκτονώσουν τις πιέσεις στον πρόσθιο χιαστό, και η κακή ισορροπία θέτει το γόνατο σε επικίνδυνη θέση
- Οι ρήξεις των ριζών των μηνίσκων είναι πιο συνηθισμένες στις αναθεωρήσεις των ανακατασκευών πρόσθιου χιαστού, ειδικά στην έξω πλευρά όπου αναφέρεται ότι συμβαίνει στο ~10% των περιπτώσεων:
- Οι ρήξεις των ριζών των μηνίσκων χρειάζονται επιπρόσθετη διάτρηση στην κνήμη για να καθηλωθεί η ρίζα μέχρι την κνήμη και αυτό πρέπει να γίνει από έναν εξειδικευμένο χειρουργό αθλητικών κακώσεων του γόνατος για καλύτερα αποτελέσματα
Διαγνωστική διερεύνηση
- Απαιτείται διεξοδική κλινική εξέταση από έναν εξειδικευμένο χειρουργό αθλητικών κακώσεων του γόνατος για να προσδιοριστεί:
- Η ακεραιότητα του μοσχεύματος
- Πρόσθετη παθολογία μέσα και γύρω από το γόνατο που θα άλλαζε το χειρουργικό πλάνο της αναθεώρησης της ανακατασκευής του πρόσθιου χιαστού
- Διαγνωστικές εξετάσεις που θα βοηθήσουν στη διαχείριση της πάθησης:
- Ακτινογραφίες του γόνατος:
- Βοηθούν στην απεικόνιση την θέσης των σηράγγων, την παρουσία εμφυτευμάτων που χρησιμοποιήθηκαν σε προηγούμενη χειρουργική επέμβαση, την εκτίμηση του μεγέθους της σήραγγας
- Ακτινογραφίες ευθυγράμμισης όλου του κάτω άκρου:
- Αυτό βοηθά στην αξιολόγηση της ευθυγράμμισης του σκέλους και κατά πόσον χρειάζεται επίσης διορθωτική οστεοτομία
- Αξονική τομογραφία:
- Συχνά απαιτείται αξονική τομογραφία, ανάλογα με το μέγεθος και τη θέση των σηράγγων στις ακτινογραφίες
- Αυτό θα βοηθήσει στην παροχή πιο λεπτομερών πληροφοριών σχετικά με το μέγεθος και τη θέση των σηράγγων που είναι ο βασικός καθοριστικός παράγοντας για το αν η αναθεώρηση της ανακατασκευής του πρόσθιου χιαστού μπορεί να πραγματοποιηθεί σε ένα ή δύο στάδια
- Διεύρυνση σήραγγας (βλέπε παρακάτω)
- Η μαγνητική τομογραφία θα παρέχει πληροφορίες για δομές μαλακών μορίων που πιθανώς χρειάζονται χειρουργική επέμβαση:
- Ακεραιότητα μοσχεύματος πρόσθιου χιαστού
- Κάκωση μηνίσκου
- Χόνδρινη βλάβη
- Πρόσθετος συνδεσμικός τραυματισμός
Η αναθεώρηση της ανακατασκευής του πρόσθιου χιαστού γινεταί σε ένα ή δύο στάδια (χειρουργεία);
- Η πλειοψηφία των αναθεωρήσεων της ανακατασκευής πρόσθιου χιαστού μπορεί να γίνει σε μία επέμβαση που ονομάζεται αναθεώρηση της ανακατασκευής πρόσθιου χιαστού ενός σταδίου
- Αναθεώρηση της ανακατασκευής πρόσθιου χιαστού δύο σταδίων σημαίνει ότι η αναθεώρηση πρέπει να γίνει σε δύο ξεχωριστές επεμβάσεις στο χειρουργείο λόγω:
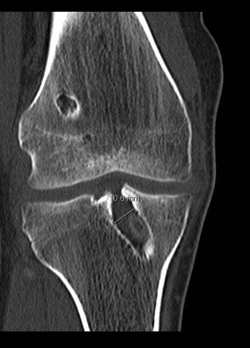
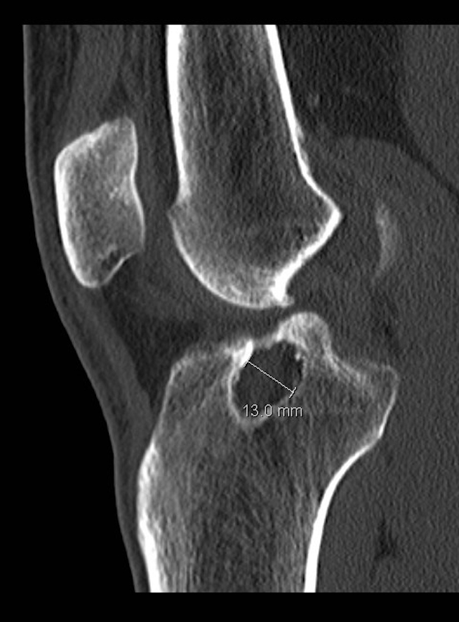
- Διεύρυνσης σήραγγας:
- Οι σήραγγες όταν κατασκευάζονται είναι κυλινδρικές
- Με την πάροδο του χρόνου οι σήραγγες μπορεί να διευρύνονται και να αυξάνουν τη διάμετρο τους, ιδίως μεταξύ των ανοιγμάτων, δηλαδή μεταξύ της εισόδου και της εξόδου της οστικής σήραγγας στο μηρό και την κνήμη
- Αυτό μπορεί να οφείλεται σε:
- Ανεπαρκή στερέωση του μοσχεύματος
- Χαλαρή τοποθέτηση του μοσχεύματος εντός της σήραγγας
- Mικροκίνηση του μοσχεύματος μέσα στη σήραγγα μετά την επέμβαση
- Επιθετική αποκατάσταση
- Εάν αυτή η διεύρυνση είναι >10-12 mm σε διάμετρο, τότε η εκτέλεση της αναθεώρησης σε ένα στάδιο είναι πιο προβληματική καθώς η σήραγγα θα είναι μεγαλύτερη από το μόσχευμα προκαλώντας προβλήματα στην τοποθέτηση, τη στερέωση και τη χαλάρωση:
- Το μόσχευμα πρέπει να έχει καλή οστική θέση για να καθηλωθεί στο οστό, το οποίο σημαίνει ότι εάν υπάρχει κενό μεταξύ του μοσχεύματος και του οστού, θα παραμείνει χαλαρό και θα οδηγήσει σε πρόωρη αποτυχία
- Σε αυτό το σενάριο (ειδικά για σήραγγες πολύ μεγαλύτερες από 10mm) θα ήταν καλύτερα να πραγματοποιηθεί η αναθεώρηση σε δύο στάδια:
- Το πρώτο στάδιο περιλαμβάνει την πλήρωση των οστικών ελαττωμάτων της σήραγγας με οστικό μόσχευμα
- Υπάρχουν διάφορες επιλογές οστικών μοσχευμάτων το καθένα με τα δικά του οφέλη και κινδύνους
- Το αυτομόσχευμα είναι οστό που λαμβάνεται από τα οστά του ίδιου του ασθενούς, όπως η λεκάνη ή άλλο σημείο στην κνήμη
- Το αυτομόσχευμα έχει τα καλύτερα αποτελέσματα για την ενσωμάτωση των οστικών μοσχευμάτων
- Ενώ το οστικό μόσχευμα από τη λεκάνη έχει πολύ καλά αποτελέσματα για την πλήρωση του οστικού κενού με επιτυχία, οι ασθενείς μπορεί να παραπονούνται για μακροχρόνιο πόνο σε εκείνη την περιοχή, καθώς και αλλαγμένη αίσθηση που μπορεί να είναι ενοχλητική όταν το δέρμα τρίβεται στα ρούχα
- Το οστικό αλλομόσχευμα είναι οστό που λαμβάνεται από δότη:
- Αυτό αποφεύγει τις επιπλοκές της λήψης οστικού μοσχεύματος από τον ασθενή
- Έχει καλά αποτελέσματα
- Συνθετικό οστικό μόσχευμα:
- Πρόκειται για συνθετικό μόσχευμα οστών
- Κακή τοποθέτηση των σηράγγων:
- Εάν η παλιά σήραγγα είναι σε τέλεια θέση, τότε μπορεί να επαναχρησιμοποιηθεί εφόσον δεν είναι πολύ ευρεία
- Αν η παλιά σήραγγα δεν βρίσκεται σε τέλεια θέση, έτσι ώστε να μην έχει επιπτώσεις στην νέα σήραγγα που θα τοποθετηθεί στην ιδανική θέση, πρόκειται επίσης για ένα καλό σενάριο, καθώς η παλιά σήραγγα μπορεί να αγνοηθεί, και μπορεί να πραγματοποιηθεί αναθεώρηση σε ένα στάδιο
- Ωστόσο, στο σενάριο στο οποίο η σήραγγα απέχει μετρίως από την ιδανική θέση, τότε αυτό δημιουργεί το μεγαλύτερο πρόβλημα και αυξάνει την πιθανότητα να πραγματοποιηθεί αναθεώρηση σε δυο στάδια, για να πληρωθεί η σήραγγα με οστικά μοσχεύματα:
- Αυτό το πρόβλημα μοιάζει με τη δημιουργία μιας τρύπας στον τοίχο για να τοποθετηθεί μια βίδα για να στηρίξει μερικά ράφια
- Αν η θέση της τρύπας πρέπει να προσαρμοστεί ελαφρώς, επειδή το ράφι δεν είναι σε οριζόντια θέση τότε η δημιουργία άλλης τρύπας που να επικαλύπτει εν μέρει την παλιά τρύπα όχι μόνο είναι πολύ δύσκολη, καθώς το τρυπάνι ολισθαίνει στην παλιά τρύπα, αλλά σε περίπτωση επιτυχίας, η νέα τρύπα ενσωματώνεται με την παλιά και το αποτέλεσμα είναι ότι σε μια τέτοια μεγάλη τρύπα η βίδα είναι εσωτερικά χαλαρή και το ράφι θα πέσει κάτω...
- Το μόσχευμα του πρόσθιου χιαστού πρέπει να ενσωματωθεί στην περιβάλλουσα οστική σήραγγα, ώστε να μπορεί να καθηλωθεί καλά και να δημιουργήσει ισχυρή κατασκευή
- Εάν υπάρχει κακή οστική επαφή με το μόσχευμα, τότε αυτή η καθήλωση δεν θα επιτευχθεί, το μόσχευμα δεν θα παραμείνει στην ιδανική θέση και θα υπάρχει μεγάλη πιθανότητα αποτυχίας
- Ενεργή λοίμωξη:
- Παρουσία ενεργής λοίμωξης, πρέπει πρώτα να αντιμετωπιστεί η λοίμωξη με περισσότερα από μία εκπλύσεις του γόνατος στο χειρουργείο και επιθετική ενδοφλέβια αντιβιοτική αγωγή για εβδομάδες
- Μόνο όταν η λοίμωξη έχει υποχωρήσει πλήρως και περάσουν αρκετές εβδομάδες χωρίς αντιβιοτικά, μπορεί να εξεταστεί η αναθεώρηση της ανακατασκευής του πρόσθιου χιαστού
- Αρθροΐνωση:
- Πρόκειται για δυσκαμψία του γόνατος με αδυναμία πλήρους έκτασης ή πλήρους κάμψης συγκριτικά με το άλλο γόνατο
- Η πραγματοποίηση ανακατασκευής του πρόσθιου χιαστού είτε είναι αρχική επέμβαση είτε αναθεώρηση, παρουσία δυσκαμψίας, σημαίνει ότι μετά την επέμβαση η δυσκαμψία είναι ακόμη χειρότερη και είναι πολύ δύσκολη η ανάκτηση πλήρους εύρους κίνησης
- Η δυσκαμψία θα προκαλέσει επίσης προβλήματα κατά την επέμβαση αυξάνοντας την πιθανότητα κακής τοποθέτησης της σήραγγας και αποτυχίας επίτευξης της βέλτιστης τάσης του πρόσθιου χιαστού
- Η χρονική περίοδος μεταξύ των δύο σταδίων αναθεώρησης της ανακατασκευής του πρόσθιου χιαστού, κατά την οποία στο πρώτο στάδιο τοποθετήθηκαν μοσχεύματα στις σήραγγες, είναι συνήθως τουλάχιστον τρεις μήνες, για να επιτραπεί η πλήρης ενσωμάτωση των μοσχευμάτων στο οστό:
- Μια αξονική τομογραφία σε αυτό το στάδιο πριν από την έναρξη του δευτέρου σταδίου είναι χρήσιμη για να επιβεβαιωθεί πόσο καλά ενσωματώθηκε το οστικό μόσχευμα στο υπόλοιπο οστό
- Μόλις γίνει η ενσωμάτωση των οστικών μοσχευμάτων, μπορεί ο χειρουργός να τοποθετήσει τις σήραγγες στη βέλτιστη θέση τους, χωρίς να ανησυχεί για το πού βρίσκονταν οι παλιές σήραγγες στο παρελθόν, που είναι το μεγάλο πλεονέκτημα της αναθεώρησης των δύο σταδίων έναντι της αναθεώρησης σε ένα στάδια
- Τα μειονεκτήματα της αναθεώρησης σε δύο στάδια:
- Μεγαλύτερη ταλαιπωρία για τον ασθενή καθώς απαιτούνται δύο χειρουργικές επεμβάσεις
- Υψηλότερος κίνδυνος κακώσεων των μηνίσκων και του αρθρικού χόνδρου κατά την ενδιάμεση περίοδο
- Υψηλότερος κίνδυνος μυϊκής απώλειας καθώς ο ασθενής κατά την ενδιάμεση περίοδο δεν θα είναι τόσο δραστήριος
- Επομένως, όπου είναι δυνατόν, θα πρέπει να επιχειρείται αναθεώρηση σε ένα στάδιο αλλά όχι εις βάρος της επίτευξης του καλύτερου δυνατού αποτελέσματος για τον ασθενή
Ποιες είναι οι επιλογές μοσχεύματος στην αναθεώρηση του πρόσθιου χιαστού;
- Οι διαθέσιμες επιλογές για το μόσχευμα του πρόσθιου χιαστού έχουν συζητηθεί αλλού και τα ίδια ισχύουν για την αναθεώρηση της ανακατασκευής του πρόσθιου χιαστού
- Ωστόσο, οι διαθέσιμες επιλογές για την επέμβαση αναθεώρησης είναι λιγότερες καθώς τουλάχιστον ένα από τα μοσχεύματα έχει ήδη χρησιμοποιηθεί
- Επομένως, είναι σημαντικό ο χειρουργός να είναι εξοικειωμένος με τη χρήση περισσότερων από έναν τύπων μοσχευμάτων πρόσθιου χιαστού
- Στην αναθεώρηση της ανακατασκευής του πρόσθιου χιαστού υπάρχει υψηλότερος κίνδυνος να χρειαστεί επιπλέον χειρουργική αποκατάσταση συνδέσμων (όπως οπίσθια-έξω γωνία ή έσω πλάγιος σύνδεσμος), οπότε απαιτείται προσεκτικός σχεδιασμός
- Τα αυτομοσχεύματα για τον πρόσθιο χιαστό, δηλαδή τα μοσχεύματα που λαμβάνονται από τον ασθενή έχουν σχεδόν 3 φορές χαμηλότερο κίνδυνο αποτυχίας από τα αλλομοσχεύματα όταν χρησιμοποιούνται για αναθεώρηση της ανακατασκευής του πρόσθιου χιαστού
- Τα αυτομοσχεύματα μπορούν επίσης να ληφθούν από το άλλο γόνατο
- Τα αλλομοσχεύματα μπορούν να χρησιμοποιηθούν σε ανάγκη όταν οι επιλογές μοσχευμάτων είναι περιορισμένες είτε λόγω του αριθμού των συνδέσμων που απαιτούν ανακατασκευή είτε λόγω μειωμένων διαθέσιμων επιλογών από την προηγούμενη χρήση αυτομοσχευμάτων ή εάν είναι επιλογή του ασθενούς
- Τα αλλομοσχεύματα, όπου είναι δυνατόν, πρέπει να προορίζονται για άτομα άνω των 30 ετών και για όσους επιστρέφουν σε ερασιτεχνική άθληση
Ποιος είναι ο ρόλος της εξωαρθρικής τενόδεσης στην αναθεώρηση της ανακατασκευής του πρόσθιου χιαστού;
- Η εξωαρθρική τενόδεση περιγράφεται περαιτέρω εδώ
- Τα στοιχεία δείχνουν ότι η προσθήκη εξωαρθρικής τενόδεσης σε μια αναθεώρηση ανακατασκευής του πρόσθιου χιαστού:
- Μειώνει το αίσθημα αστάθειας
- Μειώνει τη ρήξη του μοσχεύματος πρόσθιου χιαστού
- Συνιστάται λοιπόν η προσθήκη εξωαρθρικής τενόδεσης σε μια αναθεώρηση της ανακατασκευής του πρόσθιου χιαστού και θα εκτελείται κατά κανόνα από τον Δρ Θεοδωρίδη σε τέτοιες περιπτώσεις
Πως είναι η μετεγχειρητική αποκατάσταση μετά από μια αναθεώρηση της ανακατασκευής του πρόσθιου χιαστού;
- Ο ασθενής πρέπει να ενημερωθεί ότι αυτή η αποκατάσταση θα είναι μεγαλύτερη και πιο περίπλοκη από μια απλή ανακατασκευή πρόσθιου χιαστού
- Το πρωτόκολλο αποκατάστασης θα εξατομικεύεται για κάθε ασθενή καθώς καθορίζεται σε μεγάλο βαθμό από τις διάφορες πρόσθετες δομές που πρέπει να αντιμετωπιστούν προκειμένου να βελτιστοποιηθούν τα αποτελέσματα
- Πολλά θα εξαρτηθούν από το εάν η αναθεώρηση πραγματοποιήθηκε σε δύο στάδια και ποιες πρόσθετες διαδικασίες πραγματοποιήθηκαν
Πότε μπορώ να επιστρέψω στον αθλητισμό μετά από την αναθεώρηση της ανακατασκευής του πρόσθιου χιαστού;
- Η σύντομη απάντηση είναι όποτε το γόνατο είναι έτοιμο, μετά τους 9 μήνες
- Η επιστροφή στον αθλητισμό δεν πρέπει να βασίζεται στο χρόνο, καθώς δεν επιτυγχάνεται πάντα η επούλωση και η εκτέλεση της αποκατάστασης στο βέλτιστο βαθμό:
- Αυτό ισχύει ακόμη περισσότερο για τους ερασιτέχνες αθλητές που δεν έχουν την πολυτέλεια της πλήρους ομάδας των φυσιοθεραπευτών, των personal trainers, των διατροφολόγων και ιατρικών υπηρεσιών στη διάθεσή τους, συν το ότι πληρώνονται και είναι πολύ εστιασμένοι στην αποκατάστασή τους
- Η αποκατάσταση του πρόσθιου χιαστού θέλει πολλή δουλειά για τουλάχιστον 9 μήνες και μπορεί να υπάρξουν αποτυχίες στην πορεία και εξωτερικά γεγονότα της ζωής που μπορούν να επηρεάσουν την πρόοδο
- Υπάρχουν μερικές βασικές δοκιμές απόδοσης που μπορούν να πραγματοποιηθούν για να βοηθήσουν στον προσδιορισμό του πότε ένας ασθενής μπορεί να επιστρέψει στον αθλητισμό:
- Ακόμα κι αν είναι οι καλύτερες που έχουμε σήμερα και μπορούν να κάνουν μεγάλη διαφορά στη προστασία των ασθενών από επανατραυματισμό, δεν είναι 100% προγνωστικές
Τα αποτελέσματα είναι κατώτερα από την αρχική ανακατασκευή του πρόσθιου χιαστού
- Τα αποτελέσματα μιας αναθεώρησης ανακατασκευής πρόσθιου χιαστού δεν είναι τόσο καλά όσο η αρχική επέμβαση
- Η υψηλότερη συχνότητα χόνδρινων βλαβών, κακώσεων των μηνίσκων και πρόσθετων συνδεσμικών τραυματισμών καθώς και η μεγαλύτερη περίοδος αποκατάστασης συμβάλλουν σε χειρότερα αποτελέσματα:
- <10% των αναθεωρήσεων ανακατασκευών πρόσθιου χιαστού έχουν φυσιολογικούς μηνίσκους και αρθρικό χόνδρο
- 60-75% των ασθενών που έχουν υποβληθεί σε αναθεώρηση ανακατασκευής πρόσθιου χιαστού είναι σε θέση να επιστρέψουν στον αθλητισμό
- Ωστόσο, περίπου το 40% των ασθενών δεν μπορούν να επιστρέψουν στο ίδιο επίπεδο άθλησης ή ανταγωνισμού
- Υπάρχουν λιγότερα δεδομένα σχετικά με τα αποτελέσματα για επαγγελματίες αθλητές, αλλά πιστεύεται ότι είναι περίπου 80%
Πώς να ελαχιστοποιήσετε τον κίνδυνο να χρειαστεί επέμβαση αναθεώρησης της ανακατασκευής του πρόσθιου χιαστού;
- Επιλέξτε προσεκτικά τον χειρουργό που θα εκτελέσει την αρχική ανακατασκευή του πρόσθιου χιαστού σας
- Ένας ειδικός χειρουργός αθλητικών κακώσεων του γόνατος τείνει να πραγματοποιεί επεμβάσεις μόνο στα γόνατα και να εκτελεί αναθεωρήσεις ανακατασκευών πρόσθιου χιαστού
- Ο ειδικός χειρουργός αθλητικών κακώσεων του γόνατος, συγκριτικά με έναν μη ειδικό χειρουργό, είναι πιο πιθανό να αξιολογήσει και να αντιμετωπίσει τραυματισμούς που υπάρχουν επιπρόσθετα του πρόσθιου χιαστού που κάνει τη διαφορά στο αποτέλεσμα της επέμβασης
- Ακολουθήστε τις οδηγίες αποκατάστασης από τον εξειδικευμένο χειρουργό αθλητικών κακώσεων του γόνατος
- Αποφύγετε την υπερβολικά γρήγορη και επιθετική φυσικοθεραπεία, αλλά από την άλλη πλευρά, μην επιστρέψετε στον ανταγωνιστικό αθλητισμό πριν από τουλάχιστον 9-12 μήνες, εφόσον σας έχει επιτραπεί από τον ειδικό χειρουργό σας
- Επικεντρωθείτε ιδιαίτερα στη δύναμη και την ισορροπία και των κάτω άκρων και του κορμού:
- Τα στοιχεία δείχνουν ότι μετά από ανακατασκευή πρόσθιου χιαστού υπάρχει αυξημένος κίνδυνος τραυματισμού του πρόσθιου χιαστού στο άλλο γόνατο
- Αν είναι δυνατόν, προσπαθήστε να σταματήσετε τα αθλήματα που περιλαμβάνουν στροφικές κινήσεις και προσπαθήστε να αθληθείτε, με βάρη στο γυμναστήριο, με τρέξιμο, ποδηλασία, κωπηλασία, cross-training και την κολύμβηση καθώς ελαχιστοποιείται ο κίνδυνος κάκωσης του πρόσθιου χιαστού
- Ο καλύτερος τρόπος για να αποφευχθεί η ανάγκη αναθεώρησης της ανακατασκευής του πρόσθιου χιαστού είναι να μην τραυματιστεί ο πρόσθιος χιαστός εξαρχής και έχει αποδειχθεί το καλύτερο για αυτό για όσους παίζουν αθλήματα υψηλού κινδύνου είναι τα προγράμματα πρόληψης τραυματισμών καθώς και ειδικά προγράμματα για την πρόληψη τραυματισμών πρόσθιου χιαστού






